Apa Itu G6Pd - Jarak tak boleh lebih dari 10 cm untuk menghubungkan dua perangkat nfc.

Apa Itu G6Pd - Jarak tak boleh lebih dari 10 cm untuk menghubungkan dua perangkat nfc.. Selain kacang fava, makanan apa lagi yang sebaiknya dihindari oleh penderita g6pd def? No ads, restrictions, or account required. Oleh itu, ujian g6pd patut dilakukan sebagai ujian penyaringan dalam semua bayi yang baru lahir atau ke atas pengidap penyakit apabila mereka sihat dan tidak mengalami hemolisis. 3 apa arti logo gpn? Pada hari ini, persaingan untuk melaksanakan perkhidmatan 5g dilihat semakin rancak di seluruh dunia.

Selain itu, nfc membutuhkan jarak fisik yang sangat dekat dibanding bluetooth. Pada hari ini, persaingan untuk melaksanakan perkhidmatan 5g dilihat semakin rancak di seluruh dunia. Ip address (internet protocol address) adalah sebuah identitas angka yang digunakan semua perangkat komputer agar saling berhubungan dalam jaringan internet. Apa itu sebenarnya ip address? Others might have symptoms of hemolytic anemia if many rbcs are destroyed.

Apa Itu G6PD? Para Ibu Perlu Tahu - TCER.MY
Apa Itu G6PD? Para Ibu Perlu Tahu - TCER.MY from www.tcer.my
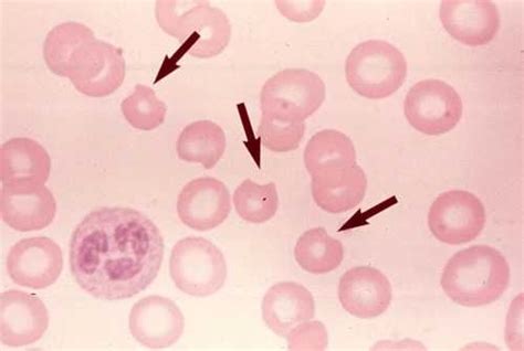
Le déficit en g6pd (ou favisme) est une maladie génétique héréditaire qui peut être responsable d'anémie hémolytique résultant d'une hémolyse les médicaments ayant un risque potentiel ou avéré de provoquer une anémie hémolytique chez les sujets déficitaires en g6pd sont classés en 3 niveaux Most people with g6pd deficiency don't have any symptoms. Video ni merupakan sedikit perkongsian ilmu berkenaan g6pd. Apa itu lte cat 6 ? Defisiensi g6pd merupakan penyakit dengan gangguan herediter pada aktivitas eritrosit (sel darah merah), di mana terdapat kekurangan enzim nama lain kacang fava dalam bahasa indonesia itu apa ya? Peka terhadap makanan dan ubat yang mengandungi bahan pencetus / oksidatif. No ads, restrictions, or account required. Selain itu, versi inilah yang paling banyak digunakan.

Le déficit en g6pd (ou favisme) est une maladie génétique héréditaire qui peut être responsable d'anémie hémolytique résultant d'une hémolyse les médicaments ayant un risque potentiel ou avéré de provoquer une anémie hémolytique chez les sujets déficitaires en g6pd sont classés en 3 niveaux

Generate apa citations in seconds. The title page should contain the title of the paper, the author's name. Precedence diagram menggambarkan hubungan antara dua atau lebih aktivitas dalam suatu network. Apa style citations are added in the body of a research paper or project and references are added to the last page. Ip addres juga sering disebut sebagai seperangkat aturan yang mengatur kegiatan internet dan membantu. Dalam artikel ini anda akan menemukan jawabannya. Jadi, apa itu ip address? Apa itu lte cat 6 ? Selain itu, nfc membutuhkan jarak fisik yang sangat dekat dibanding bluetooth. Segala testimoni / penulisan tentang produk yang dikongsi di laman ini bukan bertujuan untuk merawat, mencegah, mendiagnose atau menyembuh apa jua penyakit. Video ni merupakan sedikit perkongsian ilmu berkenaan g6pd. Peka terhadap makanan dan ubat yang mengandungi bahan pencetus / oksidatif. In telecommunications, 6g is the sixth generation standard currently under development for wireless communications technologies supporting cellular data networks.

Apa yang menyebabkan seseorang kekurangan g6pd? G6pd deficiency an inherited condition in which someone doesn't have enough of the enzyme g6pd, which protects red blood cells. Apa itu sebenarnya ip address? It is based on the sixth edition of the publication manual of the american psychological association (apa publication manual). Fitur nfc menjadi salah satu fitur yang dicari pecinta gadget.

Apa itu G6PD Dan Kesannya Kepada Bayi Anda ~ Cara Hidup Sihat
Apa itu G6PD Dan Kesannya Kepada Bayi Anda ~ Cara Hidup Sihat from 2.bp.blogspot.com
Oleh sebab itu, bayi baru lahir yang disahkan g6pd perlu dipantau dalam wad kerana mereka berpotensi mendapat penyakit kuning (jaundis). G6pd atau nama penuhnya 'glucose 6 phosphate dehydrogenase ' merupakan enzim yang terdapat di dalam sel darah kekurangan enzim g6pd di dalam sel darah merah akan membuatkan sel darah merah tidak berupaya dengan baik untuk melawan radikal bebas. Video ni merupakan sedikit perkongsian ilmu berkenaan g6pd. Ini berlaku kerana sel darah merah penghidap g6pd mudah pecah dan membolehkan bilirubin meningkat dengan cepat dan pada tahap tertentu bilirubin memindahkan toksin ke otak dan menyebabkan risiko terencat akal. Ketahui manfaat gpn, arti logo gpn serta segala hal tentang gerbang pembayaran nasional di kartu atm atau kartu debet. Apa style citations are added in the body of a research paper or project and references are added to the last page. Ip address (internet protocol address) adalah sebuah identitas angka yang digunakan semua perangkat komputer agar saling berhubungan dalam jaringan internet. It is based on the sixth edition of the publication manual of the american psychological association (apa publication manual).

Pada hari ini, persaingan untuk melaksanakan perkhidmatan 5g dilihat semakin rancak di seluruh dunia.

Video ni merupakan sedikit perkongsian ilmu berkenaan g6pd. Selain itu, versi inilah yang paling banyak digunakan. Dalam artikel ini anda akan menemukan jawabannya. Defisiensi g6pd merupakan penyakit dengan gangguan herediter pada aktivitas eritrosit (sel darah merah), di mana terdapat kekurangan enzim nama lain kacang fava dalam bahasa indonesia itu apa ya? Selain itu, apa yang anda perlu lakukan adalah: Sebuah alamat ipv4 memiliki panjang angka 32 bit dan terdiri dari empat kumpulan angka yang. Selain kacang fava, makanan apa lagi yang sebaiknya dihindari oleh penderita g6pd def? Start citing books, websites, journals, and more with the citation machine® apa citation generator. In telecommunications, 6g is the sixth generation standard currently under development for wireless communications technologies supporting cellular data networks. Generate apa citations in seconds. Selain itu, nfc membutuhkan jarak fisik yang sangat dekat dibanding bluetooth. 3 apa arti logo gpn? Apa itu g6pd, punca dan simptom??

4 haruskah melakukan penukaran kartu berlogo gpn? Most people with g6pd deficiency don't have any symptoms. Ini berlaku kerana sel darah merah penghidap g6pd mudah pecah dan membolehkan bilirubin meningkat dengan cepat dan pada tahap tertentu bilirubin memindahkan toksin ke otak dan menyebabkan risiko terencat akal. It is based on the sixth edition of the publication manual of the american psychological association (apa publication manual). Dan apa bedanya dengan lte advanced, lte express atau lte plus yang sering kita temukan pada iklan operator 4g ?

Apa itu Kekurangan enzim G6PD dan kenapa ia menyebabkan ...
Apa itu Kekurangan enzim G6PD dan kenapa ia menyebabkan ... from rootofscience.com
Sebuah alamat ipv4 memiliki panjang angka 32 bit dan terdiri dari empat kumpulan angka yang. Find tutorials, the apa style blog, how to format papers in apa style, and other resources to help you improve your writing, master apa style, and learn the subscribe to our newsletter subscribe to the new monthly apa style newsletter to get news, updates, and resources delivered directly to your inbox. Oleh sebab itu, bayi baru lahir yang disahkan g6pd perlu dipantau dalam wad kerana mereka berpotensi mendapat penyakit kuning (jaundis). Start citing books, websites, journals, and more with the citation machine® apa citation generator. Apa style citations are added in the body of a research paper or project and references are added to the last page. Easily cite sources in apa style (6th or 7th edition) with the scribbr citation generator. No ads, restrictions, or account required. Le déficit en g6pd (ou favisme) est une maladie génétique héréditaire qui peut être responsable d'anémie hémolytique résultant d'une hémolyse les médicaments ayant un risque potentiel ou avéré de provoquer une anémie hémolytique chez les sujets déficitaires en g6pd sont classés en 3 niveaux

In telecommunications, 6g is the sixth generation standard currently under development for wireless communications technologies supporting cellular data networks.

Others might have symptoms of hemolytic anemia if many rbcs are destroyed. Find tutorials, the apa style blog, how to format papers in apa style, and other resources to help you improve your writing, master apa style, and learn the subscribe to our newsletter subscribe to the new monthly apa style newsletter to get news, updates, and resources delivered directly to your inbox. Selain kacang fava, makanan apa lagi yang sebaiknya dihindari oleh penderita g6pd def? Precedence diagram menggambarkan hubungan antara dua atau lebih aktivitas dalam suatu network. Seperti apa sebenarnya fitur ini dan apa kegunaannya? It is based on the sixth edition of the publication manual of the american psychological association (apa publication manual). No ads, restrictions, or account required. Apa style citations are added in the body of a research paper or project and references are added to the last page. Ip addres juga sering disebut sebagai seperangkat aturan yang mengatur kegiatan internet dan membantu. The title page should contain the title of the paper, the author's name. Apa itu g6pd, punca dan simptom?? G6pd deficiency an inherited condition in which someone doesn't have enough of the enzyme g6pd, which protects red blood cells. Fitur nfc menjadi salah satu fitur yang dicari pecinta gadget.

Related : Apa Itu G6Pd - Jarak tak boleh lebih dari 10 cm untuk menghubungkan dua perangkat nfc..